Implanty zębowe to popularna metoda leczenia braków w uzębieniu, a ich ceny mogą znacznie różnić się w zależności od kraju, w którym są wykonywane. W Stanach Zjednoczonych koszt implantów wszystkich zębów może wynosić od 20 do 50 tysięcy dolarów, co czyni tę metodę dość drogą. W Europie ceny są bardziej zróżnicowane; w Wielkiej Brytanii można znaleźć oferty zaczynające się od około 15 tysięcy funtów, podczas gdy w Niemczech średni koszt to około 25 tysięcy euro. W krajach takich jak Polska czy Węgry ceny są znacznie niższe, co przyciąga pacjentów z zachodniej Europy. Koszt implantów w Polsce może wynosić od 10 do 20 tysięcy złotych za pełny zestaw, co czyni je atrakcyjną opcją dla osób poszukujących tańszych rozwiązań.
Jakie czynniki wpływają na cenę implantów wszystkich zębów?
Cena implantów zębowych jest determinowana przez wiele czynników, które mogą znacząco wpłynąć na ostateczny koszt leczenia. Po pierwsze, lokalizacja kliniki ma kluczowe znaczenie; w dużych miastach ceny zazwyczaj są wyższe niż w mniejszych miejscowościach. Kolejnym istotnym czynnikiem jest doświadczenie i renoma lekarza stomatologa; bardziej uznani specjaliści mogą pobierać wyższe opłaty za swoje usługi. Dodatkowo, rodzaj użytych materiałów oraz technologia stosowana podczas zabiegu również mają wpływ na cenę. Na przykład implanty wykonane z tytanu są droższe niż te wykonane z innych materiałów. Warto również zwrócić uwagę na dodatkowe koszty związane z procedurami przygotowawczymi, takimi jak zdjęcia rentgenowskie czy zabiegi chirurgiczne, które mogą być konieczne przed wszczepieniem implantów.
Co obejmuje cena implantów wszystkich zębów?

Kiedy rozważamy koszt implantów wszystkich zębów, ważne jest, aby wiedzieć, co dokładnie obejmuje ta cena. Zazwyczaj całkowity koszt leczenia nie ogranicza się jedynie do samego wszczepienia implantów; często zawiera również konsultacje wstępne oraz diagnostykę, taką jak zdjęcia rentgenowskie czy tomografia komputerowa. Wiele klinik oferuje pakiety, które mogą obejmować także zabiegi związane z przygotowaniem jamy ustnej do wszczepienia implantów, takie jak ekstrakcje zębów czy regeneracja kości. Po wszczepieniu implantów pacjent często potrzebuje dodatkowych wizyt kontrolnych oraz ewentualnych zabiegów protetycznych, które również mogą być uwzględnione w końcowej cenie. Dlatego przed podjęciem decyzji warto dokładnie zapytać o szczegóły oferty oraz co dokładnie jest wliczone w podaną cenę.
Jakie są alternatywy dla implantów wszystkich zębów?
Choć implanty zębowe są jedną z najskuteczniejszych metod uzupełniania brakujących zębów, istnieją również inne opcje leczenia, które mogą być mniej kosztowne lub bardziej odpowiednie dla niektórych pacjentów. Jedną z najpopularniejszych alternatyw są mosty protetyczne, które mogą być stosowane do uzupełnienia brakujących zębów poprzez osadzenie ich na zdrowych zębach po obu stronach luki. Mosty są zazwyczaj tańsze niż implanty i mogą być szybszym rozwiązaniem, ale wymagają szlifowania zdrowych zębów. Inną opcją są protezy ruchome lub stałe, które mogą być stosowane w przypadku większych braków w uzębieniu. Protezy są zazwyczaj najbardziej ekonomiczną opcją, ale mogą nie zapewniać takiej samej stabilności i komfortu jak implanty. Warto również wspomnieć o nowoczesnych rozwiązaniach takich jak mini-implanty czy systemy All-on-4, które oferują alternatywne podejście do leczenia brakujących zębów przy użyciu mniejszej liczby implantów.
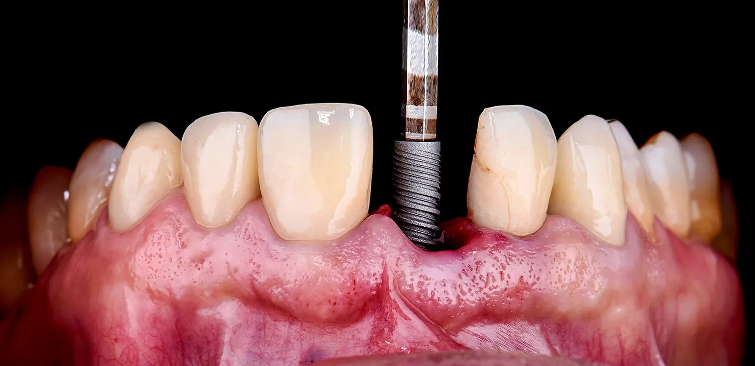
Jak przebiega proces wszczepienia implantów wszystkich zębów?
Proces wszczepienia implantów zębowych jest skomplikowanym zabiegiem, który wymaga starannego planowania oraz współpracy między pacjentem a zespołem stomatologicznym. Na początku pacjent przechodzi szczegółową konsultację, podczas której lekarz ocenia stan zdrowia jamy ustnej oraz wykonuje niezbędne badania diagnostyczne, takie jak zdjęcia rentgenowskie czy tomografia komputerowa. Na podstawie tych informacji lekarz opracowuje indywidualny plan leczenia, który może obejmować różne etapy, w tym ewentualne zabiegi przygotowawcze, takie jak ekstrakcje zębów czy regeneracja kości. W dniu zabiegu pacjent otrzymuje znieczulenie miejscowe lub ogólne, w zależności od skali operacji. Następnie lekarz wszczepia implanty w kość szczęki lub żuchwy, co zazwyczaj trwa od jednej do kilku godzin. Po wszczepieniu implantów następuje okres gojenia, który może trwać od kilku tygodni do kilku miesięcy, w zależności od indywidualnych warunków anatomicznych pacjenta oraz zastosowanej techniki.
Jakie są zalety i wady implantów wszystkich zębów?
Implanty zębowe oferują wiele korzyści, które sprawiają, że są one popularnym wyborem wśród pacjentów borykających się z brakami w uzębieniu. Jedną z głównych zalet jest ich trwałość; odpowiednio założone i pielęgnowane implanty mogą służyć przez wiele lat, a nawet całe życie. Dodatkowo implanty działają jak naturalne korzenie zębów, co pozwala na zachowanie struktury kości szczęki i zapobiega jej zaniku. Dzięki temu pacjenci mogą cieszyć się pełną funkcjonalnością żucia oraz estetyką uśmiechu. Z drugiej strony istnieją również pewne wady związane z tą metodą leczenia. Koszt implantów może być znaczny, a nie każdy pacjent jest odpowiednim kandydatem do ich wszczepienia ze względu na stan zdrowia jamy ustnej czy ogólny stan zdrowia. Proces gojenia może być długi i wymagać regularnych wizyt kontrolnych u stomatologa. Ponadto istnieje ryzyko powikłań pooperacyjnych, takich jak infekcje czy problemy z integracją implantu z kością.
Jak dbać o implanty wszystkich zębów po zabiegu?
Prawidłowa pielęgnacja implantów zębowych jest kluczowa dla ich długowieczności oraz zdrowia jamy ustnej. Po zabiegu wszczepienia implantów ważne jest przestrzeganie zaleceń lekarza dotyczących higieny jamy ustnej oraz stylu życia. Bezpośrednio po operacji pacjent powinien unikać twardych pokarmów oraz stosować zimne okłady na obszarze zabiegowym w celu zmniejszenia obrzęku. W pierwszych dniach po zabiegu należy szczególnie dbać o czystość jamy ustnej; zaleca się delikatne szczotkowanie zębów oraz używanie płynów do płukania ust bez alkoholu. Regularne wizyty kontrolne u stomatologa są niezbędne do monitorowania stanu implantów oraz wykrywania ewentualnych problemów na wczesnym etapie. Oprócz tego ważne jest stosowanie odpowiednich technik szczotkowania oraz nitkowania, aby uniknąć gromadzenia się płytki bakteryjnej wokół implantu. Osoby palące powinny rozważyć rzucenie palenia, ponieważ nikotyna może negatywnie wpływać na proces gojenia oraz integrację implantu z kością.
Jakie są najnowsze technologie w implantologii stomatologicznej?
W ostatnich latach rozwój technologii medycznych znacząco wpłynął na dziedzinę implantologii stomatologicznej, co pozwala na coraz bardziej precyzyjne i efektywne leczenie braków w uzębieniu. Jednym z najważniejszych osiągnięć jest wykorzystanie technologii cyfrowych do planowania zabiegów; dzięki skanowaniu 3D możliwe jest dokładne odwzorowanie anatomicznych warunków pacjenta i zaplanowanie optymalnego umiejscowienia implantów jeszcze przed przystąpieniem do zabiegu. Kolejnym innowacyjnym rozwiązaniem są mini-implanty, które charakteryzują się mniejszymi rozmiarami i mogą być stosowane w przypadkach ograniczonej ilości kości lub jako tymczasowe rozwiązanie przed właściwym leczeniem. System All-on-4 to kolejna nowość, która pozwala na zamocowanie całej protezy na czterech implantach; ta metoda skraca czas leczenia i minimalizuje potrzebę przeszczepu kości. Warto również zwrócić uwagę na rozwój materiałów używanych do produkcji implantów; nowoczesne tytanowe implanty są bardziej biokompatybilne i lepiej integrują się z kością, co zwiększa ich trwałość i zmniejsza ryzyko powikłań.
Jak wybrać odpowiednią klinikę stomatologiczną do wszczepienia implantów?
Wybór odpowiedniej kliniki stomatologicznej do wszczepienia implantów to kluczowy krok w procesie leczenia braków w uzębieniu. Przede wszystkim warto zwrócić uwagę na doświadczenie i kwalifikacje lekarzy prowadzących; najlepiej wybierać kliniki, które mają certyfikaty potwierdzające ich kompetencje w zakresie implantologii oraz pozytywne opinie od pacjentów. Dobrym pomysłem jest także zapoznanie się z opiniami innych osób korzystających z usług danej kliniki; można to zrobić poprzez fora internetowe czy portale społecznościowe. Ważnym aspektem jest także wyposażenie kliniki; nowoczesny sprzęt medyczny oraz technologie diagnostyczne mogą znacząco wpłynąć na jakość świadczonych usług. Należy również zwrócić uwagę na atmosferę panującą w klinice; komfort psychiczny pacjenta ma ogromne znaczenie podczas tak skomplikowanego procesu jak wszczepienie implantów.
Jakie są opinie pacjentów o implantach wszystkich zębów?
Opinie pacjentów dotyczące wszczepiania implantów wszystkich zębów są zazwyczaj pozytywne, jednak warto pamiętać, że doświadczenia mogą się różnić w zależności od indywidualnych warunków zdrowotnych oraz jakości wykonania zabiegu. Wielu pacjentów podkreśla znaczną poprawę komfortu życia po wszczepieniu implantów; możliwość jedzenia ulubionych potraw bez obaw o ruchomość protez czy estetykę uśmiechu to dla wielu osób kluczowe aspekty decydujące o wyborze tej metody leczenia. Pacjenci często zauważają również poprawę samopoczucia psychicznego związane z większą pewnością siebie wynikającą z estetyki uśmiechu. Z drugiej strony niektórzy pacjenci zgłaszają obawy dotyczące kosztu zabiegu oraz czasu potrzebnego na rehabilitację po operacji; niektórzy mogą także doświadczać dyskomfortu lub bólu po zabiegu, chociaż większość opisuje te objawy jako krótkotrwałe i łatwe do zniesienia przy odpowiedniej opiece postoperacyjnej.






